3 ý nghĩa quan trọng của phẫu thuật chỉnh hình tai giữa
Có nhiều nguyên nhân khiến cho cấu trúc tai giữa bị tổn thương, ảnh hường đến chức năng của tai. Phẫu thuật chỉnh hình tai giữa là giải pháp tối...
XEM THÊM
Phòng khám Hương Sơn tự hào là đơn vị tiên phong tại Việt Nam ứng dụng công nghệ chụp CT 2560 lát cắt hiện đại, mang lại bước đột phá trong tầm soát ung thư giai đoạn sớm. Với ưu thế vượt trội phát hiện bất thường siêu nhỏ chỉ từ 0,23mm, giảm tới 96% tác động tia xạ, công nghệ CT 2560 lát cắt đã mở ra cơ hội phát hiện ung thư từ khi chưa có triệu chứng, giúp người bệnh tận dụng được “thời điểm vàng” điều trị.
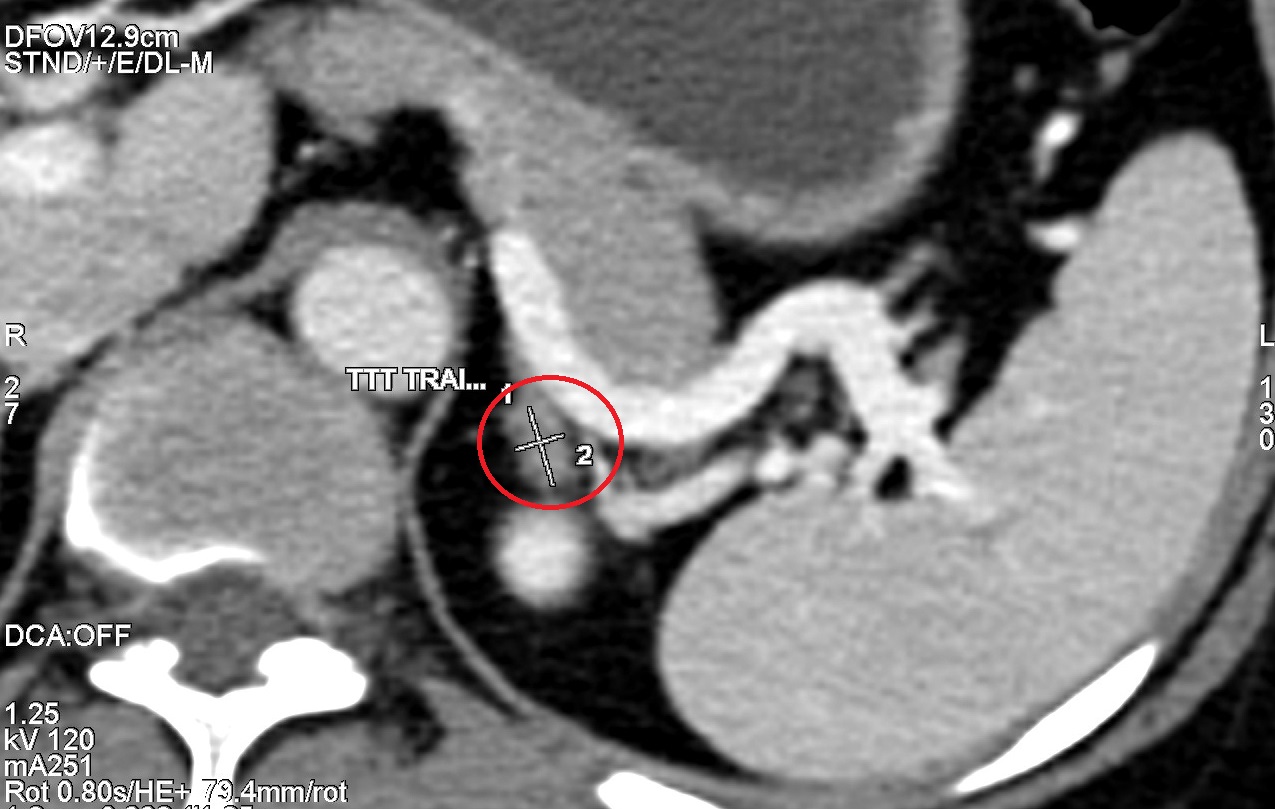
Trong một lần tầm soát định kỳ tại phòng khám Hương Sơn, bệnh nhân M.T.T (53 tuổi, Bình Đình) được chỉ định chụp CT toàn thân bằng công nghệ CT 2560 lát cắt hiện đại. Kết quả bất ngờ khi phát hiện:

Tuyến thượng thận trái có khối u kích thước 10mm, nghi ngờ mắc Adenoma tuyến thượng thận – một bệnh lý hiếm gặp, có thể dẫn đến cao huyết áp, suy tuyến thượng thận hoặc bệnh Addison.
Đáng nói, trước đó bệnh nhân T không có dấu hiệu mệt mỏi, đau bụng, chóng mặt và không có các triệu chứng như gầy sút cân, đi ngoài ra máu…
“Tôi không đau bụng, không đau lưng, ăn uống sinh hoạt bình thường, chủ yếu đau xương khớp thôi nên phát hiện ra u cũng bất ngờ. Nhưng mục đích mình đi khám tổng thể là để phát hiện bệnh sớm, giờ phát hiện sớm rồi thì yên tâm điều trị thôi.” – Bệnh nhân M.T.T cho biết.
“Bệnh nhân T là một ví dụ rất điển hình cho thấy kể cả khi cơ thể hoàn toàn khỏe mạnh thì chúng ta vẫn có nguy cơ mắc bệnh. Các bệnh lý, đặc biệt là ung thư, nếu biểu hiện thành triệu chứng như mệt mỏi, gầy sút cân bất thường..thì đã ở giai đoạn muộn, khiến việc điều trị phức tạp. Do đó, khám sức khỏe định kỳ là cách tốt nhất giúp phát hiện sớm và điều trị kịp thời bệnh lý tiềm ẩn.”
Công nghệ chụp CT 2560 là bước tiến vượt bậc trong phát hiện sớm bệnh lý và tầm soát ung thư: “Sự ra đời của công nghệ chụp CT 2560 là bước đột phá mới, không chỉ giúp phát hiện sớm các bất thường siêu nhỏ từ 0,23mm mà còn giảm tới 96% tác động tia xạ, tối ưu cho người bệnh muốn kiểm tra, tầm soát sức khỏe tổng thể và cả những trường hợp phải chụp chiếu nhiều lần trong quá trình chẩn đoán và điều trị.
Công nghệ CT 2560 lát cắt được xem là bước tiến vượt bậc trong lĩnh vực y học, đặc biệt là trong tầm soát và phát hiện ung thư giai đoạn sớm nhờ 3 ưu thế vượt trội: siêu nét, siêu tốc, siêu an toàn.
Siêu nét – Cung cấp hình ảnh 3D độ phân giải và chi tiết cao
Với khoảng cách giữa các lát cắt chỉ 0,0625 mm, hệ thống CT 2560 cho phép tái tạo tới 2560 lát cắt, cung cấp hình ảnh 3D với độ chi tiết và sắc nét hoàn hảo. Nhờ đó, bác sĩ có thể phát hiện các tổn thương siêu nhỏ từ 0,23mm, giảm thiểu rủi ro bỏ sót bất thường, nâng cao hiệu quả chẩn đoán.
“Hệ thống CT 2560 tích hợp rất nhiều công nghệ hiện đại và trí tuệ nhân tạo cao cấp, giúp giảm độ nhiễu của hình ảnh tốt nhất, cung cấp hình ảnh 3D chất lượng cao với độ sắc nét hoàn hảo, mang lại hiệu quả cao trong chẩn đoán.”
Bên cạnh đó, hệ thống CT 2560 lát cắt còn tự động phân biệt biệt trên 25 loại vật chất khác nhau bao gồm các loại sỏi, khối u, khối xơ vữa,… Phát hiện và định lượng chính xác các tổn thương siêu nhỏ, phân biệt rõ u lành tính, u ác tính và giai đoạn của khối u nhờ ứng dụng AI cao cấp nhất kết hợp với thuật toán học sâu Deep Learning.

Siêu tốc – Thời gian chụp nhanh nhất thế giới
Chỉ mất 0,23 giây cho mỗi vòng quét, hệ thống CT 2560 lát cắt AI tiên tiến có thể chụp toàn thân trong một lần duy nhất, giảm thời gian chụp, hạn chế sử dụng thuốc cản quang, và đặc biệt phù hợp với những bệnh nhân cần chụp chiếu nhiều lần.
Đặc biệt, công nghệ CT 2560 lát cắt còn có tốc độ thu hình vượt trội với trường quét rộng, cho phép quan sát được nhiều vùng cơ thể chỉ trong 1 lần chụp, giúp rút ngắn thời chụp, giảm liều thuốc cản quang, bảo vệ sức khỏe tối đa cho người bệnh.
Siêu an toàn – Giảm tới 96% tác động tia xạ, an toàn tối đa
So với các thế hệ chụp CT đa dãy trước, hệ thống CT 2560 lát cắt có ưu thế vượt trội về sự an toàn với khả năng giảm tới 96% liều tia xạ, giảm thiểu rủi ro sức khỏe do tia X gây ra. Đây là giải pháp tối ưu cho các trường hợp chụp CT tầm soát sức khỏe, chụp CT toàn thân tầm soát ung thư….

Là bệnh viện đầu tiên tại Việt Nam và Đông Nam Á ứng dụng công nghệ CT 2560 lát cắt tiên tiến, phòng khám Hương Sơn tự hào mang đến dịch vụ tầm soát ung thư chất lượng quốc tế với:
Đặt lịch trước, nhận ngay ưu đãi tới 30% tầm soát ung thư tại phòng khám Hương Sơn.